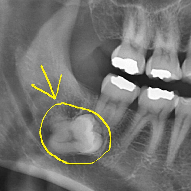
치과의사도 기도하게 만드는 X-레이 짤 작성자 정보 붐붐의민족 작성 작성일 2025.04.19 16:49 컨텐츠 정보 16,124 조회 목록 본문 이 정도면 사랑니 발치 고난도라고 합니다. 문외한인 제가 봐도 왠지 움찔하게 되네요...;; 관련자료 링크 https://www.kaov.org/KA_3101/%EC%B9%98%EA%B3%BC%EC%9D%98%EC%82%AC%EB%8F%84-%EA%B8%B0%EB%8F%84%ED%95%98%EA%B2%8C-%EB%A7%8C%EB%93%9C%EB%8A%94-x-%EB%A0%88%EC%9D%B4-%EC%A7%A4/ 732 회 연결 댓글 0 등록된 댓글이 없습니다. 로그인한 회원만 댓글 등록이 가능합니다. 목록